Dra. Naila Rezende
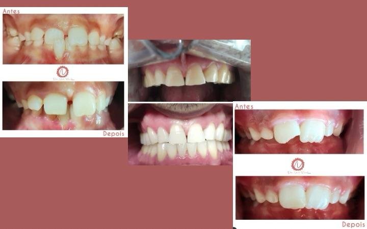
Com um olhar cuidadoso e apaixonado pela transformação de sorrisos, Dra. Naila Rezende é cirurgiã-dentista especializada em Ortodontia, Odontologia Clinica, Atendimento Infantil e Estética Dental. Atua com excelência em tratamentos modernos como Invisalign, lentes de contato dental, clareamento, toxina botulínica (Botox), entre outros procedimentos que aliam saúde, estética e bem-estar.
Na clínica também são realizados implantes e harmonização orofacial.
Com uma abordagem humanizada e técnica apurada, Dra. Naila se dedica a oferecer experiências acolhedoras e resultados que resgatam a autoconfiança de seus pacientes — desde os pequenos até os adultos.
Seu compromisso vai além do consultório: ela acredita na odontologia como ferramenta de autoestima, prevenção e qualidade de vida.
Conheça nossos serviços.
*Odontologia geral
*Odontopediatria
*Ortodontia
*Invisalign
*Clareamento
*Implante
*Botox
*Lentes de Contato





